港スワン歯科・矯正歯科の
矯正歯科
口元の健康を整えて、
あふれる笑顔に自信を
やはり、歯並びの“見た目“を改善するために、矯正治療を検討される方が殆どですが、
実は、矯正治療で変化するのは見た目だけではありません。
歯並びを整え、正しい噛み合わせになることで、口元はもちろん全身の健康向上につながります。
よくあるご相談
-
すきっ歯
歯と歯の間の隙間が大きい
-
出っ歯
上の歯が下の歯よりも飛び出している
-
受け口
下の歯が上の歯よりも飛び出している
-
乱ぐい歯
歯の本数に対して顎が狭く歯がデコボコ
-
開咬
奥歯を噛み合わせた時に上下の前歯が噛み合わない
-
過蓋咬合
口を閉じた時に、上の歯列が下の歯列を覆い隠してしまう
矯正治療
マウスピース矯正治療累計7,000症例突破
納得のいく歯並びを手に入れ、
「最高の笑顔」を作り出すお手伝いをします。
※2009年~2024年8月時点
※医療法人スワン会グループ実績
3つの特徴
患者様への負担を少なくした、
口腔内スキャナー「iTero」を使用
矯正治療を行う際、印象材と呼ばれるシリコン素材のものを口に入れて型取りをしていましたが、嘔吐反射や息苦しさがあり、患者様の負担になっていたと思います。当院が導入している「iTero」は、スキャナーで歯型を立体的にデータ化することが可能なため、患者様への負担が少なく歯型を採ることが可能です。また、印象材と比較すると些細なズレや歪みも再現することができ、精度の高い歯型を採ることが出来ます。
様々な症例実績
マウスピース矯正治療は、スワン歯科グループ全体で年間751症例以上の実績があり、「ブルーダイヤモンドプロバイダー」という賞を受賞しています。治療の実績が多いため、当院ではこれまでの治療経験を活かし、様々な症例に対応することが可能です。患者様一人ひとりの状態・ご要望にあった矯正装置を提案させていただきますので、お気軽にご相談ください。
手の届く価格で
ご納得いただいける治療を
昔と比べ、矯正治療をお考えの方が年々多くなってきています。スワン会グループでは、長年にわたり矯正治療を行っており、費用に対してもできる限り始めやすく、手の届く費用設定にできるよう努力してきました。インフォームドコンセントを大切にしており、患者様のお悩みや不安をお聞きし、治療計画を立てて流れや注意点などもしっかりお伝えすることで、治療に対する不安や費用に対する納得感を得て、治療に進んでいただければと思います。
治療の種類
マウスピース矯正
目立たない装置で
周りに気づかれにくい矯正方法です
薄く透明なマウスピース型の矯正装置で、従来のワイヤー矯正に比べ、装着しても周りに気づかれにくいのが特徴です。また、ご自身で取り外しも可能ですので、歯磨きもしやすく衛生的でメンテナンスもしやすい矯正装置です。
治療システムの種類と特徴
-
- インビザラインフル
- 歯列全体を矯正します。
-
- インビザラインライト
-
歯列全体を矯正します。
軽度な症状に対応可能です。
治療の流れ
ブラケット矯正
信頼と実績のある矯正治療
一般的な矯正治療といえばこの形を思い浮かべる方が多いかと思います。ブラケットと呼ばれる金具を歯の表面に装着し、そこにワイヤーを通して歯並びを整えていきます。当院のブラケットは金属の他に、透明で目立ちにくいものなどさまざまな種類のブラケットをご用意していますので、お客様の用途にあった種類をご提案させていただきます。
ブラケットの種類と特徴
メタルブラケット
従来の矯正治療で一般的に用いられている治療方法で、金属製のブラケットのことを言います。費用も他の装置に比べて低価格で、丈夫で壊れにくいメリットがあります。
クリアブラケット
メタルブラケットとは違い、目立ちにくく審美性の高いブラケットです。当院は、透明やセラミックのブラケットをご用意しています。金属フリーのため金属アレルギーの方でも安心して使用していただけます。
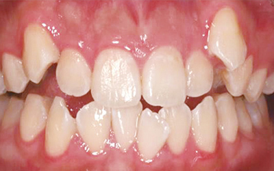
症例紹介
叢生(乱ぐい歯)
歯並びがデコボコに並んでいる状態
| 施術名 | マウスピース型矯正治療 |
|---|---|
| 治療期間 | 1年間 |
| 費用目安 | 440,000円~880,000円 |
| リスク・副作用 | 歯が動くことに伴う痛みや装置の違和感が出る場合がある |
| お支払い方法 | 各種クレジットカード・ローン支払い対応 |
| 症例数 | 累計5,000件以上(2009年~2021年12月までの累計) |
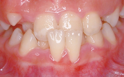
下顎前突(受け口)
下の歯が上の歯に大きくかぶさっている状態
| 施術名 | ワイヤー矯正 |
|---|---|
| 治療期間 | 2年 |
| 費用目安 | 880,000円 |
| リスク・副作用 | 矯正治療後にリテーナーの使用を怠ると、後戻りが生じる場合がある |
| お支払い方法 | 各種クレジットカード・ローン支払い対応 |
| 症例数 (インプラント) |
累計26,000件以上(1990年~2021年12月までの累計) |
治療費
| 基本治療費 | |
|---|---|
| 初回相談料 | 無料 |
| 精密検査 | 38,500円 |
| インビザライン ライト(片顎) | 330,000円 |
| インビザライン ライト(両顎) | 440,000円 |
| インビザライン モデレート(片顎) | 448,800円 |
| インビザライン モデレート(両顎) | 599,500円 |
| インビザライン コンプリヘンシブ | 899,800円 |
| 小児矯正Ⅰ期治療 | 660,000円 |
| ワイヤー矯正 | 880,000円 |
| 部分矯正 | 145,200円~ |
| オプション | |
| 抜歯(1歯) | 5,500円 |
| クリアブラケット+ホワイトワイヤー | 110,000円 |
| 調整料 | |
| 発生する場合 | 5,500円 |
| 保定装置 | |
| リテーナー | 88,000円 |
※費用は税込価格です。
※特殊な装置の使用、骨格に問題があるなどの難しい症例の場合には、別途料金がかかります。
お支払い方法
- 現金
- 各種クレジット
カード - デンタルローン
医療費控除について
1年間で支払った医療費の総額が10万円を超える場合は医療費控除を受けることが可能になります。
その年の1月1日から12月31日までの間に支払った医療費の合計が10万円以上の場合、医療費の控除を受けることができます。矯正治療は、国が定めた先天異常に伴う不正咬合以外は保険適用外の自由診療ですが、医療費控除の対象ですので、税務署へ確定申告を行うことで所得税の還付や住民税が軽減されます。
医療費控除の計算式
【1年間に支払った医療費】-
【保険金などで支払われる金額】-
【10万円*】
=医療費控除
*総所得が200万円未満の場合、
10万円ではなく総所得の5%となります。
還付金額の目安
【医療費控除額】×【所得税率】
=還付金額
医療費控除額として、
還付や住民税の軽減になります。
医療費控除に必要なもの
確定申告用紙
振込先口座番号
治療の領収書
源泉徴収票(謄本)
印鑑
etc
詳しくは、
お住まいの近くの税務署へお問合せください。
矯正治療のリスク・副作用
日本矯正歯科学会では《矯正歯科治療に伴う一般的なリスクや副作用について》を以下のようにまとめています。
- ①最初は矯正装置による不快感、痛み等があります。数日間~1、2週間で慣れることが多いです。
- ②歯の動き方には個人差があります。そのため、予想された治療期間が延長する可能性があります。
- ③装置の使用状況、顎間ゴムの使用状況、定期的な通院等、矯正治療には患者様の協力が非常に重要であり、それらが治療結果や治療期間に影響します。
- ④治療中は、装置が付いているため歯が磨きにくくなります。むし歯や歯周病のリスクが高まりますので、丁寧に磨いたり、定期的なメンテナンスを受けたりすることが重要です。また、歯が動くと隠れていたむし歯が見えるようになることもあります。
- ⑤歯を動かすことにより歯根が吸収して短くなることがあります。また、歯ぐきがやせて下がることがあります。
- ⑥ごくまれに歯が骨と癒着していて歯が動かないことがあります。
- ⑦ごくまれに歯を動かすことで神経が障害を受けて壊死することがあります。
- ⑧治療途中に金属等のアレルギー症状が出ることがあります。
- ⑨治療中に「顎関節で音が鳴る、あごが痛い、口が開けにくい」などの顎関節症状が出ることがあります。
- ⑩様々な問題により、当初予定した治療計画を変更する可能性があります。
- ⑪歯の形を修正したり、噛み合わせの微調整を行ったりする可能性があります。
- ⑫矯正装置を誤飲する可能性があります。
- ⑬装置を外す時に、エナメル質に微小な亀裂が入る可能性や、かぶせ物(補綴物)の一部が破損する可能性があります。
- ⑭装置が外れた後、保定装置を指示通り使用しないと後戻りが生じる可能性が高くなります。
- ⑮装置が外れた後、現在の噛み合わせに合った状態のかぶせ物(補綴物)やむし歯の治療(修復物)などをやりなおす可能性があります。
- ⑯あごの成長発育により噛み合わせや歯並びが変化する可能性があります。
- ⑰治療後に親知らずが生えて、凸凹が生じる可能性があります。加齢や歯周病等により歯を支えている骨がやせると噛み合わせや歯並びが変化することがあります。その場合、再治療等が必要になることがあります。
- ⑱矯正歯科治療は、一度始めると元の状態に戻すことは難しくなります。





